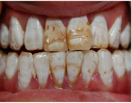
牙齿变色的问题,大家都知道分为轻度的外源性牙齿变色,以及稍微比较严重一点的中重度的牙齿变色,如果是轻度的牙齿变色那么美白起来是比较容易的,就是这种比较严重的一点的可能比较麻烦。那么在牡丹江这边针对这种比较严重一点的重度色素牙中诺是怎么美白呢?

刷牙虽然可以去除牙齿表面的一些污垢和细菌,但是并不能有效去除常年沉积在牙齿表面上黏性物质、牙结石等,尤其是重度色素牙异常难清理,十分困扰患者们,这就需要采用专业的美白方法了。
牡丹江中诺在牙齿美白方面,有专门的牙齿美白中心,致力于市民的牙齿美白事业。目前牙齿美白中心已经引进了多种美白的技术,在重度色素牙的美白方面也不不例外。
关于牡丹江中诺口腔,重度色素牙美白: 目前在中诺口腔适用于重度色素牙美白的技术主要如下,具体需要结合个人的情况具体而定。如果是非常严重的牙齿变色伴有牙齿缺损,那么这个时候就需要借助修复体来改善了。
1、冷光美白:冷光美白是目前牙齿美白效果理想的一种美白方式,能够有效去除牙齿表面的各种附着色,采用亲水性药物,不会给牙齿造成损伤,而且效果持久。
2、瓷贴面: 瓷贴面是目前具有高品质的瓷贴面技术,它根据求美者牙齿的高低厚薄进行3D精细化量齿定制,只需在牙齿表面贴上薄薄的、德国原装进口的全瓷贴片,就能摆脱四环素牙,氟斑牙,个小牙,牙列稀疏等丑牙困扰。
3、美牙冠:美牙冠的适应范围广,对于各种四环素牙、氟斑牙、畸形牙、变色牙及牙齿缺损、牙齿缺失问题等,都能够通过美容冠进行修复,恢复整齐洁白的牙齿。
牙齿美白技术之美学修复。牡丹江中诺的美学修复具有快速正畸,美齿、矫齿、治齿的功效。具有美牙不拔牙,痛苦轻,时间短(前后来院两次,间隔七天),牙齿坚固,牙龈不会出现黑线等优点,从而达到大众满意的美牙效果。