二级口腔专科医院
诊疗时间:8:30-17:30
中诺热线:0453-8156666

顾客信赖源自舒适精准治疗
TEL: 0453-8156666

  • 免费咨询
    获得专业指导建议

  • 免费预约
    便捷就诊不排队

  • 免费建档
    一患一档安全规范

当前位置:首页 > 服务项目 > 牙齿美白
去除牙结石什么方法好
  在线预约 | 在线了解
  牙结石、菌斑等造成牙周疾病的重要因素之一,及时去除对于牙周组织炎症的消退非常有好处。但是,牙结石有多有少,而且分布的位置以及数量不一样,那么应该怎么去除呢?有清除牙结石的好方法吗?我们一起来了解一下。

  口腔检查牙结石分布情况

  龈上牙石直接或通过口镜观察牙面上的龈上牙石和软垢的覆盖面积,进行检查诊断。有时在X线上也可以观察到邻面牙石。

  结合使用探针,在龈沟内沿牙面从远中划向近中,探查龈下牙石情况。还应注意观察牙石在口腔中的整体分布情况。



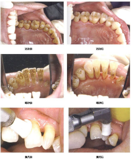
  龈上牙石去除方法—龈上洁治术

  这种方法就是我们常说的洗牙,是目前口腔保健的主要方式,是通过各种器械去除附着于齿颈与牙龈沟之间的牙结石及牙菌斑,不仅保持口腔清洁,还能预防和缓解牙龈炎、牙周炎以及口臭等口腔疾病。

  龈下牙石去除方法—龈下刮治术

  牙周炎的主要致病因素即为附着在牙根表面形成的牙石和菌斑,龈下刮治术是用比较精细的龈下刮治器刮除位于牙周袋内根面上的牙石和菌斑。在龈下刮治术后,医生还会采取根面平整术来去除遗漏的牙石菌斑,主要是为了消除牙周袋。

  根据以上描述,我们可以根据自己的口腔状况,半年或者一年洗一次牙,还要养成良好的口腔卫生习惯,及时去除牙石、菌斑,这样才能预防各种口腔疾病。

  技术推荐:中诺口腔引进的口腔洁治,采用光学数码扫描,高频声纳定位,对牙齿无损害、无需麻醉、只需30分钟即达到高效洁牙美白效果,能够快速去除牙垢、牙结石,让牙齿恢复健康。

  以上就是对“去除牙结石什么方法好?”这一问题的解答,希望可以给广大朋友们带来一定的帮助。如果您还有疑问,可以在线咨询,我院专业咨询医生会给您耐心的,详细的解答!
免内窥镜全口检查费
口腔问题全知道
在线
了解
黑(牡)(中)医广【2025】第08-11-073号     黑ICP备2025041485号

黑公网安备:23100002000239号